予約制 無料矯正相談のご案内

矯正治療について気になること
まずは気軽にご相談ください
「ワイヤーとマウスピース、どちらが自分に合うのか迷っている」「治療期間や費用について詳しく知りたい」「どんな仕上がりになるのか気になる」など、矯正に興味はあっても一歩踏み出せない——そんなお悩みをお持ちの方のために、クリア矯正歯科 福大前では無料の矯正相談を行っています。
カウンセリングでは、院長が直接お話を伺い、お口の状態を丁寧に確認。
口腔内スキャナー「iTero」でスキャンした3Dデータをもとに簡易シミュレーションを作成し、治療後の歯並びイメージをその場でご確認いただけます。
そのうえで、治療の選択肢や期間、費用の目安を、専門的な視点からわかりやすくご説明いたします。
「まずは話だけ聞いてみたい」という段階でも大丈夫です。どうぞお気軽にご相談ください。
無料矯正相談の流れ

問診

口腔内の確認

口腔内撮影

歯並びの
シミュレーション

治療内容の
説明
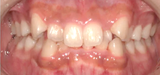
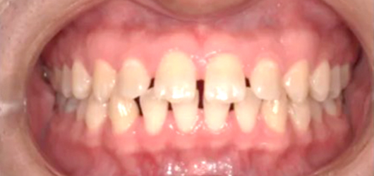
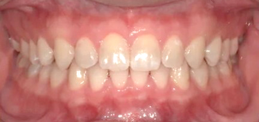
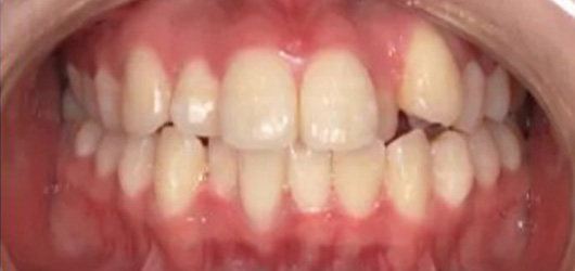
Case 症例
当院の矯正治療
透明で目立ちにくい マウスピース矯正

当院では、インビザラインによるマウスピース矯正に対応しています。透明で目立ちにくいマウスピースを使用するため、見た目に配慮しながら歯並びの改善を目指すことができます。
装置は取り外しが可能で、食事や歯磨きなど日常生活への影響を抑えて治療を行うことができます。
口腔内スキャナー「iTero」を用いてお口の中をスキャンし、精密な3Dデータを取得します。
従来のような型取りは不要で、取得したデータをもとに治療計画を作成します。治療開始前には、歯の動きを確認できる治療シミュレーションを行い、治療の流れや歯並びの変化を事前に確認したうえで、段階的にマウスピースを交換しながら矯正を行います。

幅広い症例に対応できる ワイヤー矯正

ワイヤー矯正は、歯に装着したブラケットとワイヤーの力を利用して、歯並びや噛み合わせを整える矯正治療です。歯の傾きや回転、噛み合わせの調整に適しており、治療計画に基づいて歯を動かしていきます。
当院では、歯の表側に装置を装着する表側矯正と、歯の裏側に装置を装着する裏側矯正(舌側矯正)の両方に対応しています。表側矯正でも、白や透明のブラケット・ワイヤーを使用することで、装置の見た目に配慮した治療が可能です。治療期間中は定期的に調整を行い、歯の動きに合わせて力を調節しながら治療を行います。

このような
治療やお悩みにも
対応しております
- 口元・見た目の
お悩み - 治療方法・
矯正プランの相談 - 再治療・
見直しの相談 - オーラルケア・
メンテナンス
Feature 当院の特徴

2名の矯正専門医による
確かな診断に基づいた矯正治療
当院は、矯正専門のドクターが2名在籍する矯正歯科専門医院です。
矯正治療は診断によって治療計画や仕上がりが大きく左右されるため、当院では診断を何よりも重視しています。
歯並びだけでなく、噛み合わせや顎のバランスまで考慮した診断を行い、女性の矯正専門ドクターも在籍する体制のもと、その診断に基づいた矯正治療をご提案しています。

福大前駅から徒歩8分
土日診療で通いやすい
矯正治療は定期的に通院する必要があります。そのため、通いやすさは治療を続けるうえで重要なポイントです。当院は地下鉄七隈線「福大前駅」から徒歩8分、バス停からも近く、駐車場を完備しています。万が一満車の場合でも、パーキング代をお渡ししておりますので、お車でも安心して通院いただけます。土日も隔週で診療しており、ライフスタイルに合わせて無理なく治療を続けられる環境を整えています。

治療の精度を高める
デジタル技術を駆使した設備
当院では、歯科用CTやセファロレントゲン、口腔内スキャナー「iTero」を導入し、精密な診査・診断を行っています。これにより、歯や顎の状態を詳細に把握し、より正確で安全な治療計画を立てることが可能です。デジタル技術を活用することで、治療中の予測精度も向上し、患者さまに安心して治療を受けていただけます。

一人ひとりに合わせた
幅広い矯正プランをご用意
当院では、複数の矯正方法から治療プランを選択できる体制を整えています。
治療期間の短縮を目指す加速矯正装置や、通院回数の負担を抑えられるデンタルモニタリングにも対応しており、治療の進め方についても幅広く選択できます。
また、デンタルローンや学生向けの割引などにも対応し、治療を始めやすい環境を整えています。
Greeting ご挨拶
一人ひとりに寄り添った、
笑顔につなげる矯正治療
当院では、ただ歯並びを美しく整えるだけでなく、噛み合わせや口元の健康まで考えた矯正治療を行っています。歯並びや咬み合わせは、毎日の食事や会話、そして笑顔の印象にも大きく影響します。そのため、見た目だけでなく、機能面もしっかり整えることを大切にしています。
私はこれまで、多くの患者さまの矯正治療に携わってきました。その経験をもとに、科学的根拠に基づいた最適な治療計画をご提案し、安心して通っていただける環境づくりに努めています。患者さま一人ひとりの笑顔と、長く健康な口元を守ることが私の喜びです。
矯正治療をご検討中の方や、歯並びでお悩みの方は、いつでもお気軽にご相談ください。皆さまが安心して治療に臨めるよう、最後までしっかりサポートいたします。
News お知らせ
- 2025.02.26
- クリア矯正歯科 3月の無料歯ならび相談会のお知らせです!
- 2025.01.29
- クリア矯正歯科 2月の無料歯ならび相談会のお知らせです!
- 2024.12.16
- クリア矯正歯科 1月の無料歯ならび相談会のお知らせです!




















